Онкохвора волинянка Тетяна Куценко вдруге бореться з раком та потребує фінансової допомоги на лікування.
Читайте також: Смерть у луцькому СІЗО: рідні померлого засудженого звинувачують в трагедії суддів і медиків (відео)
Нагадаємо, Тетяна Куценко в 2013 році лікувала 3-тю стадію раку грудей, пройшла повністю все лікування: 7 хімій, 2 операції і 20 променевих терапій. Але від липня 2018 лікарі виявили метастази в легені та печінку.
Тетяна – мама двох дітей. Нині жінка лікується препаратом "Ібранс", який дає хороший результат. За її словами, під час останнього КТ зафіксували зменшення пухлини у печінці.
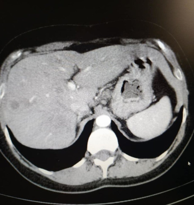
"У мене метастази, 4 стадія, але постійна від початку лікування позитивна динаміка. З 5 пухлин різних за розмірами в печінці, залишилася одна 12 на 10мм, яка була на початку 50мм. На першому фото печінки видно плями темні-це вони,метастази,а на другому фото теперішній стан. Це дуже успішне лікування. Ще трішки і я надіюсь і ця пухлина теж зникне", – розповіла вона.
Наступних три місяці жінка планує і далі приймати препарат. Втім, він дуже дорогий, самотужки сім’ї Тетяни зібрати кошти не під силу.
"Ібранс коштує 43000 в місяць. Проведені ним клінічні дослідження в Україні PALOMA 1- 3 дають мені ВІРУ на майбутнє з моєю родиною. Нарешті всі мої болі відступили. Препарат діє. Історія моєї боротьби в мене на сторінці. Я змучена після хімій, набрала 15 кг ,поганий став зір, прийшлося позбутися декілька зубів через проблеми з яснами після хімій, але тепер почавши 5 курс Ібрансу, я готова перемогти, зцілитися і Бог мені допоможе", – розповіла жінка.
Усіх небайдужих просять допомогти волинянці фінансово здолати недугу.
Підтримати Тетяну Куценко можна, переказавши кошти на рахунок
Приватбанку: 4149 4991 1968 3579 Куценко Тетяна Валеріївна.
Для переказів з усіх банків: 5168 7573 3034 6836 Куценко Тетяна Валеріївна.
Читайте також: Маленька волинянка потребує термінової допомоги небайдужих для боротьби із важкою хворобою
Читайте головні новини Волині та України також на нашій сторінці у Facebook









Коментарі
коментарів немає